The most important thing is to confirm whether you do have AF or not. This is done by recording the electrical activity of the heart during your symptoms (or when your heart is fast and irregular if you do not have symptoms).
Recording the electrical activity of the heart is called an electrocardiogram (ECG).
This can be done either in a doctors surgery on a fixed machine, on a treadmill during an exercise ECG or with a device that you can carry around at home using either a Holter monitor or event recorder.
It is also important that someone competent looks at the results. Even cardiologists who do not specialise in heart rhythm problems may get it wrong.

If AF has been confirmed then you should have some simple tests to check that there is not an underlying cause for it.
- your blood pressure measured to exclude hypertension (high blood pressure)
- your thyroid function measured with a blood test
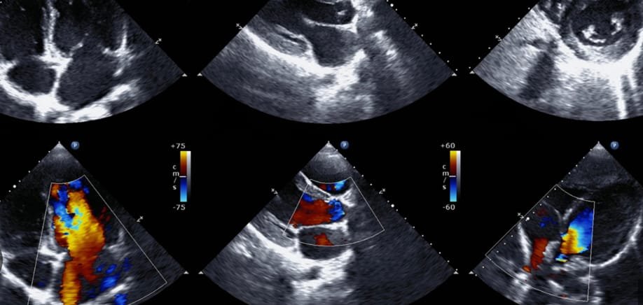
- an echocardiogram to exclude structural heart disease that is sometimes impossible to detect with an examination. This can be called a sonar of your heart.


Once other causes for AF have been excluded or treated then you must make a decision as to how you want your AF treated.
If you opt to accept AF and simply have you heart rate controlled, recording the ECG during exercise or with a 24 hour Holter recording will give a much better idea of what your heart rate control is with just one examination at rest.

It is also possible to monitor your heart rhythm over a longer period of time by inserting a small ECG monitor close to your breast bone.